30 поражения легких при коронавирусе у пожилого человека что делать
Процент поражения легких 30 процентов при коронавирусе: опасно такое поражение? Какие последствия?
Считается, что поражение легких 30 процентов при коронавирусе имеет благоприятный прогноз. На результат влияет своевременность начала лечения болезни, особенность ее течения, методы оказания медицинской помощи.
Признаки поражения легких
При домашнем лечении ковида надо знать признаки, когда растет поражение:
Осмотр должен проводиться при хорошем освещении.
Насторожить должен любой из этих симптомов, особенно, если есть сочетание двух или трех признаков.
Степени поражения
Процент поражения легких высчитывает рентгенолог на основании данных компьютерной томографии. Существует 5 степеней поражения, которые определяются как отношение воспаленной ткани к здоровой, выраженное в процентах:
Выживаемость
При 30%-ном поражении легких прогноз благоприятный. Сопровождается повышением температуры, одышкой, потерей обоняния, сухим кашлем.
Выживаемость, в зависимости от возраста, характеризуется следующими данными:
Опасность дальнейшего развития недуга зависит как от возраста больного, так и от его иммунной системы, от методики лечения. Особого внимания требует течение болезни у пожилых людей. Им требуется срочное размещение в стационаре при нарастании за два дня таких характерных признаков, как одышка, сильный кашель.
Лечение
Терапия ковидной инфекции включает:
В связи с тем, что не хватает квалифицированных врачей и лекарственных средств, люди зачастую занимаются самолечением или применяют народные методы лечения.
Самолечение запрещено. Лекарственные препараты применяются только по рекомендации врачей после проведения обследования.
Последствия
При заболевании ковидом важно знать, чем грозит опасная инфекция, если ее не долечить.
Наиболее распространенные последствия:
При тяжелом течении болезни могут быть такие серьезные последствия, как:
Основная угроза при опасной инфекции − фиброз. Высока доля вероятности его развития при поражении легких более, чем на 25%. В легких на месте здоровых тканей появляются рубцы. Дыхание становится затрудненным, организму не хватает кислорода. Возникает угроза сердечной недостаточности, начинаются скачки кровяного давления.
Помогает снизить развитие опасного осложнения дыхательная гимнастика, особенно − гимнастика Стрельниковой.
Даже ослабленным больным можно и нужно делать дыхательные упражнения.
Восстановление после коронавирусной инфекции
Если болезнь у человека проходила в легкой форме (до 25% поражения легких) или среднетяжелой (до 49%), процесс восстановления продлится до 30 дней. В случае протекания опасного заболевания в тяжелой форме пациенту для реабилитации потребуется от полугода до 12 месяцев.
Восстановление состоит из следующих компонентов:
Чтобы максимально восстановиться после коронавирусной болезни, необходимо выполнять все предписания лечащего врача, в том числе и после выписки из стационара.
Итоги
Омский врач рассказала об особенностях ковидной пневмонии
Как не пропустить болезнь, что такое «матовое» стекло и почему одни омичи с поражением легких 30% лечатся дома, а другие попадают в стационар.
Очень хорошо позволяет разграничить пневмонию компьютерная томография (КТ).
Для пневмонии при COVID-19 характерно двустороннее поражение легких, поэтому врач по результатам томографии также оценивают тяжесть заболевания. Для этого разработана эмпирическая шкала визуальной оценки легких, в которой КТ-0, КТ-1, КТ-2, КТ-3 и КТ-4 соответствуют стадии заболевания и, соответственно, степени поражения легких.
Одни омичи с поражением легких до 30% переносят заболевание легко, а другие попадают в стационары. По словам врача, такое поражение легких считается достаточно большим и перенести его легко могут немногие.
Как будет протекать заболевание у конкретного человека, никто, к сожалению, сказать не может. Однако пневмония, если ее не лечить, может вызвать серьезные осложнения вплоть до инфекционно-токсического шока и развития сепсиса, когда пациенту потребуется интенсивная терапия, и даже смерти.
Защитить от пневмонии поможет вакцинация, врачи уже могут сделать такие выводы.
Кстати, вакцина от пневмококка от коронавирусной пневмонии не защитит.
Степени тяжести коронавирусной инфекции. Что такое легкая, тяжелая, критическая степень тяжести.
По мере распространения пандемии коронавируса мы получаем больше информации о том, как у разных людей проходит коронавирусная болезнь COVID-19. Так некоторые заболевшие коронавирусом имели легкую степень инфекции, другие – среднюю, тяжелую или критическую.
По мере распространения пандемии коронавируса мы получаем больше информации о том, как у разных людей проходит коронавирусная болезнь COVID-19. Так некоторые заболевшие коронавирусом имели легкую степень инфекции, другие – среднюю, тяжелую или критическую.
По мере распространения пандемии коронавируса мы получаем больше информации о том, как у разных людей проходит коронавирусная болезнь COVID-19. Так некоторые заболевшие коронавирусом имели легкую степень инфекции, другие – среднюю, тяжелую или критическую.
Рассматривая симптомы коронавируса, можно выделить кашель и температуру. Но, насколько сильным может быть кашель? Какая температура является серьезной? Как определить степень тяжести заболевания? Что означают степени тяжести коронавируса?
Степени тяжести коронавирусной инфекции
Каждый из этих «уровней» заболевания встречается значительно реже, чем предыдущий (тяжелые случаи, реже, чем средние; средние в свою очередь менее распространены, чем легкие и т. д.).
Какая степень тяжести может развиться в случае заболевания COVID-19?
Большинство молодых и здоровых людей с большей вероятностью получат бессимптомную или легкую степень тяжести коронавирусной инфекции. Однако в последнее время поступают сообщения о тяжелых формах заболевания, включая смертельные случаи, у молодых людей. Шанс тяжелой степени заболевания у молодых людей низкий в процентном отношении, но не равен нулю.
Значительно больше шансов развития средней, тяжелой или критической степени тяжести коронавирусной инфекции в группах риска:
(Подробнее о том кто находится в группе риска)
Когда затрагивается огромное количество людей, они не все идеально вписываются в групповую классификацию тяжести коронавирусной инфекции. Но если симптомы преимущественно связаны с легкой формой заболевания, но с наличием одного или двух умеренных признаков средней тяжести, заболеванию соответствует степень «от легкой до средней».
Если симптомы в основном относятся к средней тяжести, но состояние ухудшается и появляются симптомы, которые кажутся «серьезными», обращайтесь за неотложной помощью.
Значительно больше шансов, что болезнь будет прогрессировать и перейдет в более тяжелую стадию для тех, кто находится в группе риска, особенно если за 60. Если вы находитесь в очень уязвимой группе и подозреваете, что у вас даже умеренная степень COVID-19, вам следует обратиться за медицинской помощью.
Бессимптомный COVID-19
Бессимптомное состояние означает отсутствие симптомов. Тем не менее, есть сообщения о потере обоняния у людей, не имеющих других симптомов. Технически это тоже является симптомом.
Легкая тяжесть коронавирусной инфекции COVID-19
Вирус поражает в основном верхние дыхательные пути. Ключевые симптомы – температура с кашлем или без кашля.
Пациенты с легкой степенью заболеваниями имеют симптомы похожие на грипп – сухой кашель и умеренно повышенную температуру до 37,8 ° C. Иногда температура может быть лишь слегка повышена, а кашля может не быть совсем. Пациенты могут заметить, что им немного труднее дышать, чем обычно, при физической нагрузке, но у них нет переутомления от обычной домашней деятельности.
При легкой степени коронавирусной болезни COVID-19:
Большинство здоровых людей в возрасте до 60 лет, у которых есть симптомы, будут иметь эту форму коронавирусной болезни.
Большинство (81%) симптоматических случаев COVID-19 остаются легкими по степени тяжести. Тем не менее, состояние больных с легкой степенью заболевания может ухудшиться, иногда быстро, до средней, тяжелой и критической степени тяжести. Это более вероятно для групп риска.
Во второй части этой статьи мы рассмотрим умеренные, тяжелые и критические степени заболевания коронавирусом.
Когда обращаться за помощью
Ничто не заменит осмотр врача.
Тем не менее, подавляющее большинство больных с легкой или бессимптомной степенью инфекции не нуждаются в медицинской помощи и могут лечиться дома. Есть некоторые обстоятельства, при которых необходимо обратиться к врачу:
Если вы находитесь в группе риска, обратитесь за медицинской помощью. Это относится ко всем, кто находится в самоизоляции. Вам следует обратиться к врачу (по телефону), если у вас появились симптомы COVID-19, и вы находитесь в группе риска.
Если у вас есть симптомы, которые ухудшаются, обратитесь за помощью. Это особенно важно, если у вас есть какие-либо из симптомов тяжелой формы.
Средняя тяжесть COVID-19
При средней тяжести коронавирусной инфекции воспаление переходит ниже в легкие, поэтому симптомы респираторных заболеваний, такие как кашель, более выражены.
У пациентов с умеренным COVID-19 возникает воспаление в бронхиолах – сильная одышка и тенденция к учащенному сердцебиению, особенно при движении.
С умеренным COVID-19:
Немедленно обратитесь за помощью если:
Тяжелая степень COVID-19
Тяжелая степень коронавирусной инфекции COVID-19 означает, что это пневмония, воспаление легких, вызванное вирусом в крошечных воздушных мешочках (альвеолах).
Тяжелая степень COVID-19 более вероятна у пациентов старше 60-и лет или при наличии тяжелых заболеваний. Здоровые и молодые люди гораздо реже могут получить тяжелую степень заболевания.
У пациентов с тяжелой степенью заболеваниями отмечается сильная одышка (при небольшой физической нагрузке или даже в состоянии покоя). Они не в состоянии закончить предложение без лишних вдохов или вообще не могут говорить. Так как уровень кислорода в крови падает, они дышат быстрее.
Врачи измеряют частоту дыхания при оценке этого состояния. Обычно взрослые дышат со скоростью 12-18 вдохов в минуту. При пневмонии частота вдохов повышается, иногда заметно.
При подобных симптомах следует немедленно обратиться за медицинской помощью.
При тяжелом течении КОВИД-19:
Другие распространенные симптомы пневмонии COVID-19 включают (у вас не обязательно могут быть все или даже большинство из них):
Критическое состояние COVID-19
При тяжелой пневмонии может развиться состояние, называемое тяжелый острый респираторный синдром (ТОРС). Небольшие воздушные мешочки в легких становятся настолько воспаленными и влажными, что склонны прилипать, и сурфактант не может выполнять свою работу, так как в альвеолах слишком много воспалительной жидкости, образовавшейся из-за вирусов. В таком случае необходимо искусственное дыхание. Для этой цели нужен аппарат искусственной вентиляции легких.
Наиболее опасно в критическом состоянии, если развивается сепсис (заражение крови). Другие органы перестают работать, что может привести к смерти.
Шансы, что в результате заражения коронавирусом молодой здоровый человек окажется в критическом состоянии низкие, но не равны нулю. В то время, как подавляющее большинство здоровых молодых людей не оказывается в критическом состоянии в случае коронавируса, вы никогда не можете быть уверены, что это не случится с вами.
Большинство пациентов пожилого возраста также не доходят до критической степени тяжести COVID-19, но у значительной их части болезнь прогрессирует. Риск возрастает с возрастом
Вы можете пережить критический COVID-19 с помощью интенсивной терапии в больнице, но даже этого не всегда достаточно, как мы видим на примерах во всем мире.
Вам следует немедленно позвонить по номеру экстренной помощи, если вы считаете, что у вас или у ваших близких есть симптомы тяжелой или критической степени коронавируса COVID-19.
Автор: Доктор Мэри Лоут (Великобритания)
Перевод с английского
Приложение. Степень поражения легких при коронавирусе
Тяжесть поражения легких на МСКТ коррелирует с тяжестью заболевания.
Суть метода заключается в подсчете процентов вовлечения в патологический процесс каждой из пяти долей легких:
Общий балл по МСКТ является суммой индивидуальных показателей доли и может варьироваться от 0 (отсутствие вовлечения) до 25 (максимальное вовлечение), когда все пять долей вовлечены более чем на 75%.
Процент поражения легких может быть рассчитан путем умножения общего балла на 4.
Пример: 1-доля поражено 20% 2- балла, 2-ая доля 20% – 2 балла, 3 доля поражено 4% – 1 балл, 4- я доля поражено 50% – 4 балла, 5- я доля 30% – 3 балла
Общий процент поражения легких = (2+2+1+4+3)x4=48% (округляется до 50%)
Опасны ли приливы для здоровья сердца?
В последних исследованиях стали больше обращать внимания на сердечно-сосудистые факторы риска у женщин с ранней менопаузой (до 40 лет) и некоторыми осложнениями беременности. Большое исследование было акцентировано на общем симптоме менопаузы, который затрагивает до 85% женщин: приливы.
Выживаемость больных с тяжелой степенью коронавирусной болезни улучшилась с помощью кортикостероидов
В рамках совместных международных исследований ученые-клиницисты объединили данные из 121 больницы в восьми странах и выявили, что недорогие и широко доступные препараты – стероиды повышают вероятность того, что больные коронавирусом COVID-19 переживут болезнь.
Менопауза и психическое здоровье
Менопауза и годы, предшествующие ей, могут привести к изменениям в организме. Но менопауза может оказывать влияние и на психическое здоровье.
Безопасен ли тестостерон? Что ожидать от приема тестостерона?
В настоящее время мужчины используют таблетки, гель тестостерона или инъекции, чтобы восстановить нормальный уровень мужского гормона. Непрерывный блиц-маркетинг в области фармацевтики обещает, что такое лечение «низкого тестостерона» позволит мужчин чувствовать себя более бодрыми, энергичными и сексуальными. Однако сохраняются побочные эффекты. Например, некоторые пожилые мужчины, принимающие тестостерон, могут столкнуться с повышенным риском для сердца.
Почему увеличивается грудь у мужчин?
Почему происходит увеличение мужской груди?
Алкогольная болезнь печени
Алкогольная болезнь печени подразделяется на три основные формы:
Борьба с гипертонией – основные стратегии
По данным ВОЗ, у каждого четвертого мужчины и каждой пятой женщины в мире есть высокое артериальное давление (гипертония).
Какие скрытые риски вызывают сердечно-сосудистые заболевания?
Риски сердечно-сосудистых заболеваний увеличиваются с возрастом. Известно, как снизить общие риски сердечно-сосудистых заболеваний:
В чём причины бесплодия
Как сохранить здоровье в жару
Лечение пневмонии при коронавирусной инфекции
Коронавирусная инфекция стала самой обсуждаемой темой последнего времени. Это респираторное заболевание, а особенно его угрожающие последствия, стали основной страшилкой современности, хотя в 80% случаев оно протекает легко и относительно без последствий. Только у 20% заболевших «корона» протекает в тяжелой форме. Как известно, вызывающий ее вирус может провоцировать возникновение пневмонии, т. е. воспаления легких, в 2—5% случаев приводящей к тяжелым осложнениям, уносящим жизни.
Особенности пневмонии при коронавирусе
Для коронавирусной инфекции типично развитие вирусной атипичной пневмонии, которая может развиваться как практически сразу же после заражения, так и уже после возникновения основных симптомов заболевания. При ней в легких и бронхах, а точнее в их мельчайших составляющих, альвеолах и бронхиолах, возникает острый воспалительный процесс, но часто это сопровождается смазанной клинической картиной, что и отличает атипичную пневмонию.
Развитие пневмонии опасно не только при коронавирусе, но и в целом. Ведь, несмотря на весь прогресс медицины, она остается опасным заболеванием, входящим в первую десятку болезней, приводящих к смерти больных даже в самых развитых странах.
Пневмония после коронавируса может быть первичной и вторичной. В первом случае она вызывается самим вирусом SARS-CoV-2 и, как правило, протекает атипично. Во втором случае она носит вирусно-бактериальную природу и может сочетаться с первичным воспалением легких или же выступать его поздним осложнением, то есть такая пневмония развивается уже после перенесения коронавирусной инфекции. Замечено, что бактериальная флора чаще всего присоединяется к вирусу на 4—7 день и может выступить главной причиной воспаления легких.
Вызывать пневмонию после коронавируса могут и другие виды вирусов, в том числе гриппа, парагриппа, кори, аденовирус и пр., если после выздоровления от «короны» человек столкнулся с этими инфекциями.
При попадании вируса из носовой или ротовой полости в бронхи возникает отек слизистых оболочек, изменяется рН, что нарушает движение ресничек, ответственных за естественное очищение нижних дыхательных путей. Постепенно бронхи отекают все больше, а их просветы перекрываются слизью, что серьезно затрудняет прохождение воздуха. В результате сильно страдает газообмен легких, в кровь поступает меньше кислорода, что приводит к возникновению гипоксии. Это отрицательно сказывается на работе всего организма, в том числе головного мозга, а не только легких. Кроме того, при поражении легких SARS-CoV-2 наблюдается нарушение синтеза сурфактанта – особого вещества, призванного обеспечивать правильную работу альвеол и защищает их от образования рубцовой ткани, т. е. развития фиброза. В результате развивается вирусная пневмония.
Вирусные частицы проникают в клетки альвеол, там размножаются и впоследствии высвобождаются в легкие, а клетка погибает. Таким образом, одновременно поражается большое количество альвеол, нарушается их целостность и повышается проницаемость стенок. Это приводит к тому, что в них нарушаются обменные процессы, жидкость проникает в межклеточное пространство, что приводит к нарушению водно-солевого обмена. Поскольку в пораженных альвеолах скапливаются разрушенные элементы клеток, лейкоциты, эритроциты, это приводит к отеку легких. При разрушении поврежденных клеток стенки альвеол спадаются, что провоцирует развитие нарушений дыхания, тяжесть которых зависит от объема поражения легких.
Как правило, начало развития коронавирусной инфекции плавное. Изначально поднимается температура до субфебрильных значений, т. е. до 37,5°С, и возникает слабость. Это может сопровождаться незначительным першением в горле, покраснением, слезоточивостью глаз. Обусловленная вирусом SARS-CoV-2 пневмония обычно развивается на 8—9 день от начала заболевания. Во многих случаях это протекает бессимптомно, в чем и заключается основное коварство воспаления легких такого типа. Иногда пневмония возникает уже на 5—6 день от начала заболевания. У ряда больных это сопровождается нарушениями работы ЖКТ, в том числе тошнотой, диареей, реже рвотой, а иногда и появлением сыпи на коже. По собранным данным, подобное протекание заболевания характерно для перенесения «короны» в менее тяжелой форме.
На более поздних этапах развития пневмонии возникает надсадный сухой кашель, боль в груди и одышка. Появление подобных признаков является поводом для немедленного обращения за медицинской помощью, поскольку характерное для коронавируса воспаление легких может приводить к тяжелым последствиям, в том числе необратимому фиброзу, что существенно снизит качество жизни, станет причиной инвалидности или даже смерти больного.
При прогрессировании воспалительного процесса в легких наблюдается возникновение острого дистресс-синдрома, что сопровождается:
При тяжелой одышке больные стараются принять вынужденное положение тела: сидя, уперев руки перед собой в стул, кровать или колени.
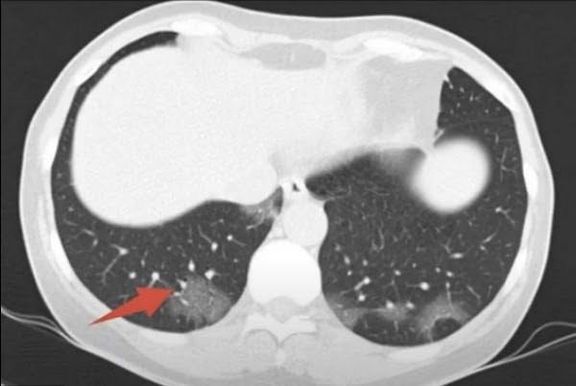
Если в это время сделать КТ легких, на полученных снимках будут видны обусловленные вирусным поражением двусторонние изменения в легких в виде затемнений округлой формы, склонных сливаться между собой и формировать так называемый рентгенологический признак «эффект матового стекла». После разрешения воспалительного процесса, отмершие участки легких заменяются фиброзными рубцами. Рентген не дает такой исчерпывающей информации, как КТ, и в легких ситуациях при незначительном объеме поражений легких может вовсе оказаться бесполезным, так как изменения не будут видны.
Также обусловленная коронавирусом пневмония сопровождается поражением стенок сосудов легких с нарушением свертываемости крови. Это приводит к образованию тромбов и резкому увеличению риска развития тромбоэмболии.
Но если заболевание осложняется присоединением бактериальной флоры, т. е. развитием вторичной вирусно-бактериальной пневмонии, клиническая картина становится значительно ярче уже с первых дней. В таких ситуациях больным будет досаждать сначала приступообразный сухой кашель, постепенно сменяющийся влажным с отхождением густой, слизисто-гнойной мокроты.
Выраженная лихорадка – типичный признак бактериальных инфекций. При этом она может сохраняться достаточно долго и плохо поддаваться купированию жаропонижающими средствами. Нередко наблюдаются боли в груди разной интенсивности, усиливающиеся при кашле, чихании, движениях.
В целом вирусная пневмония при адекватном лечении длится от 2-х недель до 4—6 недель.
Пневмония особенно опасна для пожилых людей старше 65—70 лет, а также лиц, имеющих сопутствующие заболевания, в частности:
Диагностика
Диагностика пневмонии после коронавируса в целом осуществляется так же, как и в других случаях, т. е. включает сбор анамнеза, в рамках чего врач выясняет, когда появились первые признаки заболевания, как оно протекало, когда наступило ухудшение и т. д. Обязательно проводится аускультация легких, во время которой можно услышать характерные хрипы, заметить учащение сердцебиения и дыхания. Также обязательно измеряют сатурацию, т. е. определяют уровень насыщения крови кислородом. Эта неинвазивная процедура занимает меньше минуты и осуществляется с помощью пульсоксиметра, надеваемого на палец больного.
Непременно проводится ПЦР тест на SARS-CoV-2, а также рентгенография органов грудной клетки или компьютерная томография. В рамках диагностики пневмонии также обязательно выполняется:
Все эти анализы крайне важны, поскольку позволяют установить причину развития воспаления легких, его возбудителя и чувствительность к различным лекарственным средствам. Это позволяет разработать наиболее эффективную тактику лечения пневмонии.
Лечение пневмонии после COVID-19
Воспаление легких легкой степени тяжести может лечиться дома под строгим контролем терапевта или педиатра. При этом важно обеспечить максимальную изоляцию больного от остальных членов семьи. Если это возможно, и больной способен сам себя обслуживать, стоит на время переехать в другое жилье для полной самоизоляции. При отсутствии такой возможности больному следует постараться выделить отдельное помещение, посуду, полотенце и т. д. Также обязательно нужно регулярно проветривать комнату и проводить влажную уборку во избежание заражения других членов семьи.
Больному, проходящему лечение пневмонии при коронавирусе в домашних условиях, необходимо обеспечить обильное питье, причем желательно отдавать предпочтение теплым напиткам, например, компоту, воде, морсу. Но от кофеинсодержащих напитков, в частности кофе, чая, энергетиков, лучше отказаться, так как они оказывают стимулирующее действие на нервную систему, повышая активность и «отвлекая» организм от борьбы с инфекцией.
Обязательной госпитализации подлежат:
При диагностировании изолированной вирусной пневмонии, т. е. при получении отрицательных результатов анализов на бактериальную микрофлору, пациентам назначаются препараты 4-х групп:
Таким образом, специфического лечения вирусной пневмонии не существует, а все мероприятия направлены на поддержание организма, пока иммунная система ведет борьбу с вирусом и вызванными им изменениями в легких.
При присоединении вторичной бактериальной инфекции обязательно назначаются антибиотики. Но при пневмонии после коронавируса их нередко назначают даже при отсутствии подтверждений наличия бактериальной микрофлоры с целью снижения риска осложнения течения и без того опасного воспаления легких. Поэтому антибиотики часто назначаются всем больным с подтвержденным диагнозом COVID-19 и при пневмонии после него.
В особенно тяжелых случаях в состав медикаментозной терапии включают кортикостероиды, обладающие выраженными противовоспалительными свойствами и помогающие защитить стенки сосудов альвеол от повреждения. Их вводят внутривенно короткими курсами.
При развитии дыхательной недостаточности и низком уровне сатурации пациентов лечат в отделении интенсивной терапии с применением экстракорпоральной мембранной оксигенации, т. е. искусственного введения в легкие кислорода за счет использования зондов и других средств. В особенно сложных случаях больных вводят в искусственную кому и подключают к аппарату искусственной вентиляции легких до стабилизации состояния больного и устранения риска летального исхода.
Противовирусные препараты
Пневмония, обусловленная SARS-CoV-2 – новое явление для современной медицины, которое стало вызовом для нее и поставило задачу подобрать и синтезировать новые эффективные по отношению именно к этому штамму вируса препараты. Так, сегодня для лечения воспаления легких в таких ситуациях применяются лекарственные средства на основе ингибиторов протеаз, в которых действующим веществом выступает лопинавир, ритонавир, авифавир.
Также достаточно хорошо себя зарекомендовали в борьбе с SARS-CoV-2 противомалярийные препараты, в частности хлорохин и дезоксихлорохин. Но они отрицательно сказываются на работе сердечно-сосудистой системы, поэтому решение об их применении, особенно у пациентов с заболеваниями сердца и сосудов, принимается строго индивидуально после тщательного взвешивания рисков и ожидаемой пользы.
В последние годы на фармацевтическом рынке появилась масса противовирусных средств общего назначения: Арбидол, Амиксин, Оциллококцинум и пр. Еще до появления COVID-19 они часто назначались педиатрами и терапевтами при ОРВИ, гриппе и других вирусных инфекциях. Их эффективность была подтверждена в ходе проведения клинических исследований и доказано, что препараты такого рода способствуют повышению естественных защитных сил организма, а также останавливают или как минимум замедляют размножение вируса. Поэтому их также нередко рекомендуют принимать при пневмонии при коронавирусной инфекции или возникшей уже после ее перенесения.
Интерфероны
Интерфероны – естественные биологически активные вещества, вырабатывающиеся в организме человека в ответ на вирусную инвазию. Сегодня их чаще всего получают генно-инженерными методами. Препараты на основе интерферонов нередко назначают с самых первых дней перенесения вирусных инфекций, в том числе спровоцировавших развитие воспаления легких, так как они обладают противовоспалительными и иммуномодулирующими свойствами. Но пока что нет убедительной доказательной базы их эффективности.
Дезинтоксикационная терапия
Поскольку при пневмонии организм испытывает интоксикацию, особенно при тяжелом ее течении, пациентам нередко назначают средства, очищающие его от вредных веществ. В подавляющем большинстве случаев дезинтоксикационная терапия проводится в стационаре, так как предполагает внутривенные инфузии глюкозы, физиологического раствора, полиглюкина, а также введение гепарина для снижения риска развития сосудистых нарушений.
Средства симптоматической терапии
Обязательно при пневмонии после коронавируса назначаются препараты, улучшающие самочувствие больного. Это:
Витамины
При вирусной, как и вирусно-бактериальной пневмонии после коронавируса лечение включает использование витаминов. В первую очередь показан прием витамина D, С, А, а также группы В. Они способствуют ускорению восстановления поврежденных слизистых оболочек легких, синтезу гемоглобина, улучшения кровообращения, укреплению стенок сосудов, нормализации течения обменных процессов.
Антибиотики
При диагностировании вторичной вирусно-бактериальной пневмонии антибиотик подбирается в соответствии с результатами бакпосева. В остальных случаях назначается антибактериальный препарат широко спектра действия.
Таким образом, препаратами выбора могут стать:
На фоне приема антибиотиков, а также после окончания курса назначается прием пре- и пробиотиков. Эти препараты способствуют восстановлению нормальной микрофлоры кишечника, которая также является частью иммунной системы организма.
Прогноз
При пневмонии, обусловленной коронавирусной инфекцией, для большинства категорий населения прогноз благоприятный. В 50—60% случаев она протекает в легкой форме. Осложнения возникают только у 3—10 % больных, а летальный исход наблюдается у 1—4% людей, но в старшей возрастной группе 65+ смертность в разных странах достигает 20%.
При этом оценка динамики состояния пациента при перенесении пневмонии после коронавируса осуществляется на основании имеющейся клинической картины. Рентгенологическим показателям уделяется значительно меньшее внимание, поскольку даже через месяц КТ может показывать те же изменения в легких, что и в разгар болезни. Поэтому контрольную томографию следует проводить не ранее чем через 3—6 месяцев после начала болезни.


















